На Радио Свобода с 2012 года, автор расследований, материалов о технологиях и науке. Родился в Ленинграде в 1980 году, закончил математико-механический факультет СПбГУ. Число Эрдёша - 3.
Закон о защите персональных данных нельзя понять без инструкции, а она еще не написана
Талантливым российским программистам больше не придется мечтать о работе в российском офисе Google
Новый законопроект против "спайса" вряд ли решит проблему употребления психотропных веществ, но может ослабить коррупцию
Алишер Усманов купил выставленную на аукцион нобелевскую медаль Джеймса Уотсона и собирается вернуть ее продавцу
Участники второй конференции научной диаспоры безуспешно попытались обсудить проблемы российской науки, не обсуждая проблем самой России
Финалист премии "Просветитель" Геннадий Горелик о социальных эффектах теоретической физики
Российские лингвисты помогли жителям острова Сокотра создать письменность для их языка, раньше существовшего лишь в устной форме
В этом году обладателями премии "Просветитель" стали книги о блокаде и о мозге
Финалист премии "Просветитель" историк Сергей Яров о нравственных уроках блокады Ленинграда и аморальности войны
Умер Александр Гротендик, гениальный математик и принципиальный пацифист
Академик Михаил Маров о Челябинском метеорите и неожиданном значении его падения
Победителем тендера на популяризацию деятельности Комиссии по борьбе с лженаукой РАН стал МГУ
Финалист премии "Просветитель" Борис Штерн – о наступающих темных веках и неограниченных возможностях человеческого разума
Крупнейшему российскому и советскому физику Исааку Халатникову исполнилось 95 лет
Нобелевская премия по химии вручена ученым, придумавшим, как обойти теоретический предел разрешающей способности оптического микроскопа
Нобелевская премия по физике вручена за инженерную работу – создание светодиода голубого цвета
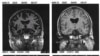
Нобелевская премия по физиологии и медицине присуждена за открытие в мозгу млекопитающих клеток, отвечающих за ориентацию в пространстве
Синдром Альцгеймера может стать самой страшной болезнью XXI века. Спасут ли человечество новые технологии?
Вслед за Белкой и Стрелкой космос посетили не только люди, но и множество других живых организмов, от бактерий до кошек. Что они забыли на орбите?
Пулковской обсерватории – 175 лет, и этот юбилей может стать последним
Загрузить еще